Awards

2022 Endocrine Images Award Winners

May 05, 2022

First Place

Gary Hammer — University of Michigan, Ann Arbor, Mich.

The adrenal gland is a critical organ that not only mounts the "flight or fight" stress response, but also is required for proper salt and carbohydrate balance. Shown at the top is a histological section of the mouse adrenal gland. The red area marks the adrenal cortex, containing cells that produce aldosterone, cortisol and glucocorticoids. Yellow cells are remaining cells of the fetal adrenal cortex. The blue core of the adrenal is the medulla, the region where epinephrine (adrenaline) is produced. In the middle and bottom images, the image of the adrenal has been manipulated using Photoshop filters.

Second Place (tie) 

Federico Salas-Lucia  University of Chicago, Chicago Ill. 

Confocal image of a coronal slice of an adult pituitary gland showing deiodinase type 3 (magenta), TSHB (green) and merged labelling in white. Finding D3 in the thyrotropes adds a new layer of complexity to the sensing and regulation of peripheral thyroid hormone levels. 

Jennifer Richer, Lyndsey Crump, and Nicole Spoelstra — University of Colorado, Aurora, Colo.

Breast cancer stained with a multiplex panel that we developed to stain for multiple hormone receptors on the same section. Here we see ER in red, AR in white, GR in green, Ki67 in Yellow, cytokeratin on tumor cells and cleaved caspase 3 in pink.

Honorable Mentions

Priya Bhardwaj  Weill Cornell Medicine, New York, NY

This is a confocal microscopy image of human breast epithelium (blue color= Hoechst nuclear stain). Breast epithelium is comprised of tree-like branching ducts and lobules that respond to endocrine signals to synthesize and secrete milk during pregnancy and lactation. Breast epithelial cells can also become neoplastic in the setting of breast cancer, often times driven by hormones (e.g. estrogen, progesterone).

Indrajit Chowdhury, Saswati Banerjee, Wei Xu, and Winston E. Thompson  Morehouse School of Medicine, Atlanta, Ga.

Endometriosis is an estrogen-dependent chronic gynecological inflammatory disorder. The immune system dysregulation may play a vital role in the initiation and progression of the disease. It has defined as the growth of endometrial tissue (specifically glands and stroma) outside the uterine cavity, predominantly in the peritoneal compartment. The knowledge of molecular and cellular regulation of the endometriotic endometrium is poor, mainly due to multiple autocrine-paracrine hormonal signaling and lack of study models that are reliable and reproducible. Moreover, 2D cell cultures do not truly represent 3D organ biology and functioning. Therefore, we established a rat epithelial cell-derived organoid culture system that recapitulates the epithelial layer of the endometrium. Representative phase images of rat uterine organoids were grown in Matrigel for a different duration. Also they develop placental villi like structures. Organoid stain with DAPI (Blue color).

Antonio Fernandes de Oliveira Filho  Endocrinologist Clinica de Endocrinologia, Campina Grande, Brazil

I photograph the blades used in thyroid nodules biopsies from which a cancer diagnosis was reached. Then I applied Cartema, a design principle, where the images are repeated, reflected and rotated to generate visual mosaic compositions. As each blade is unique every composition is a surprise. This project started as a way for me to cope with the distress of communicating cancer diagnoses to patients and treating them. The message behind this pursuit is perhaps that we need beauty and art to give life meaning.

Emily Goodchild, Elena Azizan, Xilin Wu, and Morris Brown Queen Mary University, London, England

A montage of images of FFPE human adrenal sections counterstained for DAPI, six images of an adrenal gland, containing an aldosterone-producing adenoma, counterstained for VSNL1, CYP11B2, DAB2, DACH1 and CYP17A1. 

Enzo Lalli — French Institute of Health and Medical Research, Nice, France

Kissing fishes - The IGF-1R - mTOR pathway has a critical role in regulating proliferation of adrenocortical cancer cells. The specific localization of activated (Ser2448-phosphorylated) mTOR in the midbody of telophase mitotic H295R adrenocortical cancer cells suggest a role of this protein in the process of cytokinesis. Green, beta-tubulin; red, phospho(Ser2448)-mTOR; blue, DAPI staining of DNA.

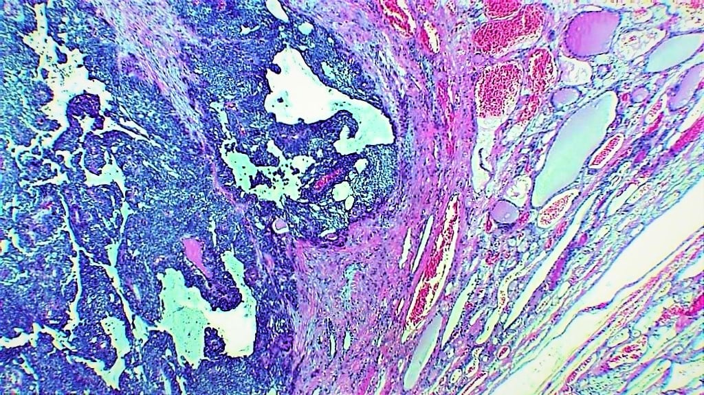
Eddy Lincango Naranjo, Juana Cordero-Garate, Carla M. Dominguez, Paola Solis-Pazmino, Richard Godoy, and Cristhian Garcia  Mayo Clinic, Cleveland, Ohio

Spindle epithelial tumor with thymus-like differentiation (SETTLE) is a very rare malignant tumor of the thyroid gland. It is believed to arise from thymus tissue or branchial pouch remnants and has a significant propensity for late metastasis. Approximately 50 cases have been reported around the globe, only four reported in Latin America; herein we report the first case of SETTLE from Ecuador. Image: Operating room touch preparation, hematoxylin-and-eosin. We can see partially encapsulated tumor lesion, with areas of infiltrative pattern, separated by sclerotic stroma, biphasic pattern with areas of spindle cells with elongated nuclei with coarse chromatin and occasional nucleoli alternating with areas with epithelial structures forming cords, tubules, glands, cysts and occasional papillae. 

Kotaro Sasaki University of Pennsylvania, Philadelphia Pa.

The image depicts the NR5A1(+)GATA4(-) adrenogenic coelomic epithelium of a E28 cynomolgus monkey embryo, which is the newly identified origin of the adrenal cortex in primates.

 

Last Updated:
Back to top

Who We Are

For 100 years, the Endocrine Society has been at the forefront of hormone science and public health. Read about our history and how we continue to serve the endocrine community.